中文名稱: 兔抗GATD3B多克隆抗體
相關(guān)類別: 一抗
|
Background: |
May play a role in promoting mitochondrial enlargement in cone photoreceptor cells. |
|
Applications: |
ELISA, WB, IHC |
|
Name of antibody: |
GATD3B |
|
Immunogen: |
Fusion protein of human GATD3B |
|
Full name: |
glutamine amidotransferase like class 1 domain containing 3B |
|
Synonyms: |
KNP-I |
|
SwissProt: |
A0A0B4J2D5 |
|
ELISA Recommended dilution: |
5000-10000 |
|
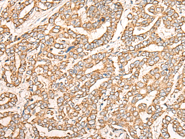
IHC positive control: |
Human liver cancer |
|
IHC Recommend dilution: |
20-100 |
|
WB Predicted band size: |
28 kDa |
|
WB Positive control: |
HEPG2, K562, Hela, A549 and 293T cell lysates |
|
WB Recommended dilution: |
500-2000 |


購物車
幫助
021-54845833/15800441009
