|
Background: |
The protein encoded by this gene belongs to the COE (Collier/Olf/EBF) family of non-basic, helix-loop-helix transcription factors that have a well conserved DNA binding domain. The COE family proteins play an important role in variety of developmental processes. Studies in mouse suggest that this gene may be involved in the differentiation of osteoblasts. |
|
Applications: |
ELISA, IHC |
|
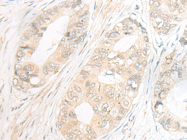
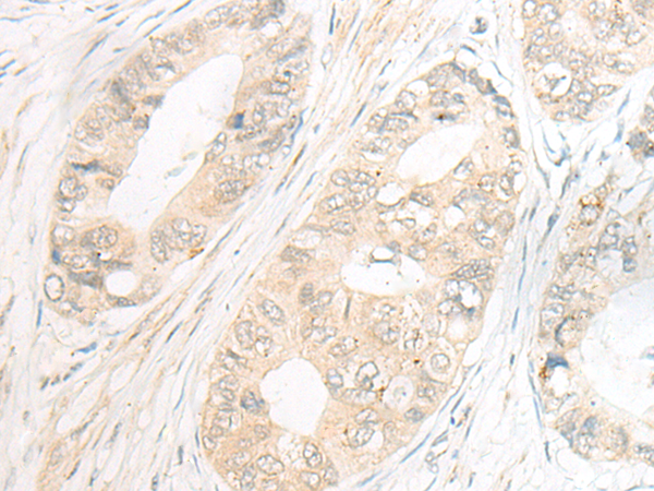
Name of antibody: |
EBF2 |
|
Immunogen: |
Synthetic peptide of human EBF2 |
|
Full name: |
early B-cell factor 2 |
|
Synonyms: |
COE2; OE-3; EBF-2; O/E-3 |
|
SwissProt: |
Q9HAK2 |
|
ELISA Recommended dilution: |
5000-10000 |
|
IHC positive control: |
Human gastric cancer; |
|
IHC Recommend dilution: |
20-100 |
購物車
幫助
021-54845833/15800441009
