|
Background: |
Component of the proteinaceous fiber-like linker between two centrioles, required for centrosome cohesion. |
|
Applications: |
ELISA, WB, IHC |
|
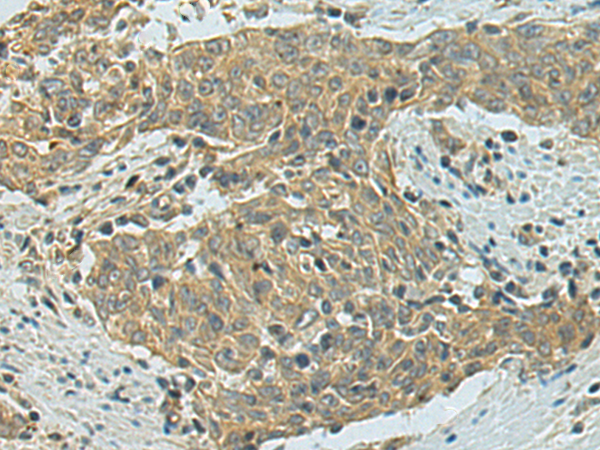
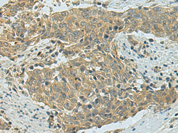
Name of antibody: |
LRRC45 |
|
Immunogen: |
Fusion protein of human LRRC45 |
|
Full name: |
leucine rich repeat containing 45 |
|
SwissProt: |
Q96CN5 |
|
ELISA Recommended dilution: |
5000-10000 |
|
IHC positive control: |
Human esophagus cancer and Human colorectal cancer |
|
IHC Recommend dilution: |
100-300 |
|
WB Predicted band size: |
76 kDa |
|
WB Positive control: |
HepG2 cell lysate |
|
WB Recommended dilution: |
500-2000 |



購物車
幫助
021-54845833/15800441009
