|
Background: |
The protein encoded by this gene is a member of the keratin gene family. The type II cytokeratins consist of basic or neutral proteins which are arranged in pairs of heterotypic keratin chains coexpressed during differentiation of simple and stratified epithelial tissues. As many as six of this type II cytokeratin (KRT6) have been identified; the multiplicity of the genes is attributed to successive gene duplication events. The genes are expressed with family members KRT16 and/or KRT17 in the filiform papillae of the tongue, the stratified epithelial lining of oral mucosa and esophagus, the outer root sheath of hair follicles, and the glandular epithelia. This KRT6 gene in particular encodes the most abundant isoform. Mutations in these genes have been associated with pachyonychia congenita. The type II cytokeratins are clustered in a region of chromosome 12q12-q13. |
|
Applications: |
ELISA, IHC |
|
Name of antibody: |
KRT6A/KRT6B/KRT6C |
|
Immunogen: |
Synthetic peptide of human KRT6A/KRT6B/KRT6C |
|
Full name: |
keratin 6A/keratin 6B/keratin 6C |
|
Synonyms: |
K6A; K6C; K6D; CK6A; CK6C; CK6D; KRT6C; KRT6D; K6B; PC2; CK6B; CK-6B; KRTL1; K6E; KRT6E |
|
SwissProt: |
P02538/P04259/P48668 |
|
ELISA Recommended dilution: |
2000-5000 |
|
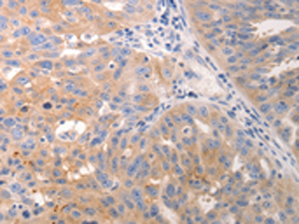
IHC positive control: |
Human breast cancer and Human ovarian cancer |
|
IHC Recommend dilution: |
50-200 |
購(gòu)物車
幫助
021-54845833/15800441009
