|
Background: |
Killer cell immunoglobulin-like receptors (KIRs) are transmembrane glycoproteins expressed by natural killer cells and subsets of T cells. The KIR genes are polymorphic and highly homologous and they are found in a cluster on chromosome 19q13.4 within the 1 Mb leukocyte receptor complex (LRC). The gene content of the KIR gene cluster varies among haplotypes, although several "framework" genes are found in all haplotypes (KIR3DL3, KIR3DP1, KIR3DL4, KIR3DL2). The KIR proteins are classified by the number of extracellular immunoglobulin domains (2D or 3D) and by whether they have a long (L) or short (S) cytoplasmic domain. KIR proteins with the long cytoplasmic domain transduce inhibitory signals upon ligand binding via an immune tyrosine-based inhibitory motif (ITIM), while KIR proteins with the short cytoplasmic domain lack the ITIM motif and instead associate with the TYRO protein tyrosine kinase binding protein to transduce activating signals. The ligands for several KIR proteins are subsets of HLA class I molecules; thus, KIR proteins are thought to play an important role in regulation of the immune response. |
|
Applications: |
ELISA, WB, IHC |
|
Name of antibody: |
KIR3DL1 |
|
Immunogen: |
Fusion protein of human KIR3DL1 |
|
Full name: |
killer cell immunoglobulin like receptor, three Ig domains and long cytoplasmic tail 1 |
|
Synonyms: |
KIR; NKB1; NKAT3; NKB1B; NKAT-3; CD158E1; KIR3DL1/S1 |
|
SwissProt: |
P43629 |
|
ELISA Recommended dilution: |
5000-10000 |
|
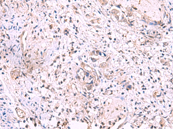
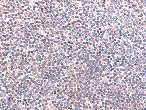
IHC positive control: |
Human liver cancer and Human tonsil |
|
IHC Recommend dilution: |
50-300 |
|
WB Predicted band size: |
49 kDa |
|
WB Positive control: |
Human fetal liver tissue and Human liver tissue lysates |
|
WB Recommended dilution: |
1000-5000 |


購物車
幫助
021-54845833/15800441009
