|
Background: |
KCTD4 (potassium channel tetramerisation domain containing 4) is a 259 amino acid protein that contains one BTB domain, suggesting a possible role as a transcriptional regulator. |
|
Applications: |
ELISA, IHC |
|
Name of antibody: |
KCTD4 |
|
Immunogen: |
Fusion protein of human KCTD4 |
|
Full name: |
potassium channel tetramerization domain containing 4 |
|
Synonyms: |
bA321C24.3 |
|
SwissProt: |
Q8WVF5 |
|
ELISA Recommended dilution: |
5000-10000 |
|
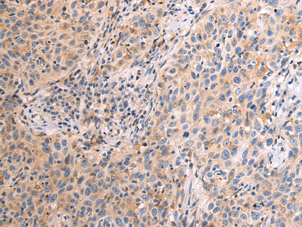
IHC positive control: |
Human prostate cancer |
|
IHC Recommend dilution: |
50-100 |

購物車
幫助
021-54845833/15800441009
