|
Background: |
This gene encodes a protein that contains a RUN domain, FYVE-type zinc finger domain and Golgi dynamics (GOLD) domain. The encoded protein plays a role in microtubule plus end-directed transport of autophagic vesicles through interactions with the small GTPase Rab7, phosphatidylinositol-3-phosphate (PI3P) and the autophagosome marker LC3. Mutations in this gene are a cause of autosomal recessive congenital cataract-2 (CATC2). |
|
Applications: |
ELISA, IHC |
|
Name of antibody: |
FYCO1 |
|
Immunogen: |
Fusion protein of human FYCO1 |
|
Full name: |
FYVE and coiled-coil domain containing 1 |
|
Synonyms: |
CATC2; RUFY3; ZFYVE7; CTRCT18 |
|
SwissProt: |
Q9BQS8 |
|
ELISA Recommended dilution: |
5000-10000 |
|
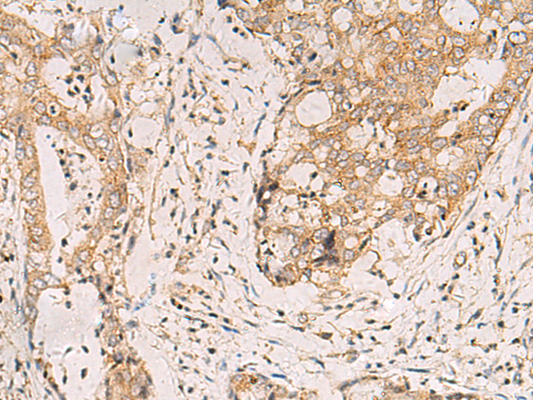
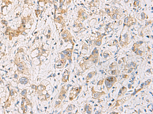
IHC positive control: |
Human liver cancer and Human cervical cancer |
|
IHC Recommend dilution: |
100-200 |


購(gòu)物車
幫助
021-54845833/15800441009
