中文名稱(chēng):小鼠抗BIRC5單克隆抗體
|
Background: |
This gene is a member of the inhibitor of apoptosis (IAP) gene family, which encode negative regulatory proteins that prevent apoptotic cell death. IAP family members usually contain multiple baculovirus IAP repeat (BIR) domains, but this gene encodes proteins with only a single BIR domain. The encoded proteins also lack a C-terminus RING finger domain. Gene expression is high during fetal development and in most tumors, yet low in adult tissues. Alternatively spliced transcript variants encoding distinct isoforms have been found for this gene. |
|
Applications: |
WB, IHC |
|
Name of antibody: |
BIRC5 |
|
Immunogen: |
Fusion protein of human BIRC5 |
|
Full name: |
baculoviral IAP repeat containing 5 |
|
Synonyms: |
API4; EPR-1 |
|
SwissProt: |
O15392 |
|
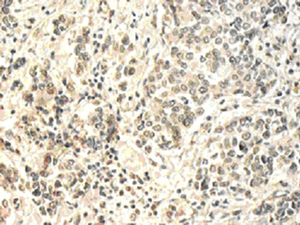
IHC positive control: |
Human liver cancer and Human gastric cancer; Human esophagus cancer and Human prostate cancer |
|
IHC Recommend dilution: |
100-500 |
|
WB Predicted band size: |
16 kDa |
|
WB Positive control: |
Jurkat, SKOV3, 231 cell lysates |
|
WB Recommended dilution: |
1000-5000 |

購(gòu)物車(chē)
幫助
021-54845833/15800441009
