|
Background: |
This gene encodes a class III receptor tyrosine kinase that regulates hematopoiesis. This receptor is activated by binding of the fms-related tyrosine kinase 3 ligand to the extracellular domain, which induces homodimer formation in the plasma membrane leading to autophosphorylation of the receptor. The activated receptor kinase subsequently phosphorylates and activates multiple cytoplasmic effector molecules in pathways involved in apoptosis, proliferation, and differentiation of hematopoietic cells in bone marrow. Mutations that result in the constitutive activation of this receptor result in acute myeloid leukemia and acute lymphoblastic leukemia. |
|
Applications: |
ELISA, WB, IHC |
|
Name of antibody: |
FLT3 |
|
Immunogen: |
Fusion protein of human FLT3 |
|
Full name: |
fms related tyrosine kinase 3 |
|
Synonyms: |
FLK2; STK1; CD135; FLK-2 |
|
SwissProt: |
P36888 |
|
ELISA Recommended dilution: |
5000-10000 |
|
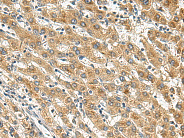
IHC positive control: |
Human liver cancer |
|
IHC Recommend dilution: |
50-200 |
|
WB Predicted band size: |
113 kDa |
|
WB Positive control: |
231 cell lysate |
|
WB Recommended dilution: |
500-2000 |


購物車
幫助
021-54845833/15800441009
