中文名稱:兔抗ZNF688多克隆抗體
|
Background: |
May be involved in transcriptional regulation. |
|
Applications: |
ELISA, WB, IHC |
|
Name of antibody: |
ZNF688 |
|
Immunogen: |
Fusion protein of human ZNF688 |
|
Full name: |
zinc finger protein 688 |
|
SwissProt: |
P0C7X2 |
|
ELISA Recommended dilution: |
5000-10000 |
|
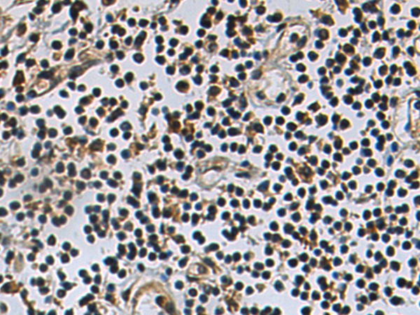
IHC positive control: |
Human breast cancer and Human prostate cancer |
|
IHC Recommend dilution: |
50-200 |
|
WB Predicted band size: |
31 kDa |
|
WB Positive control: |
A172 and 231 cell lysates |
|
WB Recommended dilution: |
500-2000 |

購(gòu)物車
幫助
021-54845833/15800441009
