中文名稱:兔抗YY2多克隆抗體
|
Background: |
The protein encoded by this gene is a transcription factor that includes several Kruppel-like zinc fingers in its C-terminal region. It possesses both activation and repression domains, and it can therefore have both positive and negative effects on the transcription of target genes. This gene has an intronless coding region, and it appears to have arisen by retrotransposition of the related YY1 transcription factor gene, which is located on chromosome 14. |
|
Applications: |
ELISA, IHC |
|
Name of antibody: |
YY2 |
|
Immunogen: |
Synthetic peptide of human YY2 |
|
Full name: |
YY2 transcription factor |
|
Synonyms: |
ZNF631 |
|
SwissProt: |
O15391 |
|
ELISA Recommended dilution: |
5000-10000 |
|
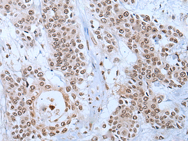
IHC positive control: |
Human esophagus cancer and human prostate cancer |
|
IHC Recommend dilution: |
25-100 |

購物車
幫助
021-54845833/15800441009
