中文名稱: 兔抗BRF2多克隆抗體
|
Background: |
This gene encodes one of the multiple subunits of the RNA polymerase III transcription factor complex required for transcription of genes with promoter elements upstream of the initiation site. The product of this gene, a TFIIB-like factor, is directly recruited to the TATA-box of polymerase III small nuclear RNA gene promoters through its interaction with the TATA-binding protein. |
|
Applications: |
ELISA, IHC |
|
Name of antibody: |
BRF2 |
|
Immunogen: |
Fusion protein of human BRF2 |
|
Full name: |
BRF2, RNA polymerase III transcription initiation factor 50 kDa subunit |
|
Synonyms: |
BRFU; TFIIIB50 |
|
SwissProt: |
Q9HAW0 |
|
ELISA Recommended dilution: |
5000-10000 |
|
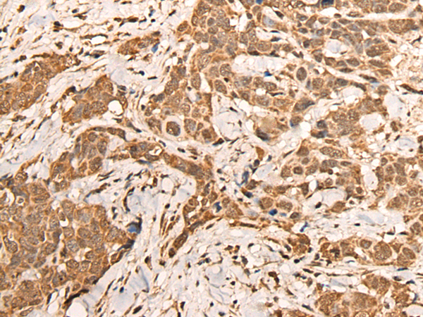
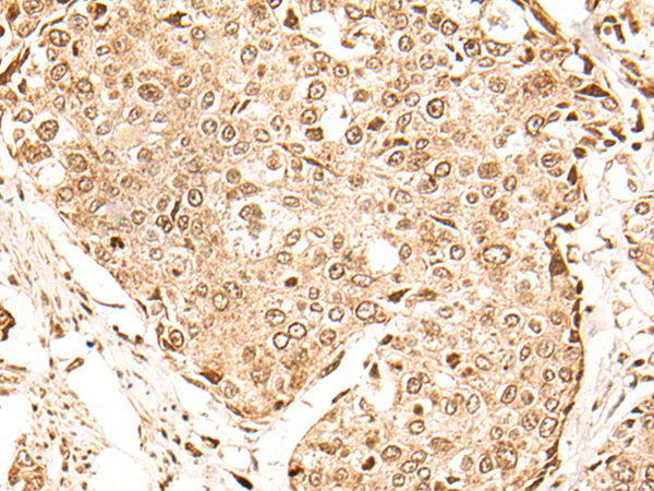
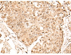
IHC positive control: |
Human thyroid cancer and human cervical cancer |
|
IHC Recommend dilution: |
25-100 |


購物車
幫助
021-54845833/15800441009
