中文名稱:兔抗BRCA1 (Phospho-Ser1423)多克隆抗體
|
Background: |
The BRCA1-BARD1 heterodimer coordinates a diverse range of cellular pathways such as DNA damage repair, ubiquitination and transcriptional regulation to maintain genomic stability. Acts by mediating ubiquitin E3 ligase activity that is required for its tumor suppressor function. Plays a central role in DNA repair by facilitating cellular response to DNA repair. Required for appropriate cell cycle arrests after ionizing irradiation in both the S-phase and the G2 phase of the cell cycle. Involved in transcriptional regulation of P21 in response to DNA damage. Required for FANCD2 targeting to sites of DNA damage. May function as a transcriptional regulator. Inhibits lipid synthesis by binding to inactive phosphorylated ACACA and preventing its dephosphorylation |
|
Applications: |
WB, IHC |
|
Name of antibody: |
BRCA1 (Phospho-Ser1423) |
|
Immunogen: |
Synthetic peptide of human BRCA1 (Phospho-Ser1423) |
|
Full name: |
breast cancer 1, early onset (Phospho-Ser1423) |
|
Synonyms: |
IRIS; PSCP; BRCAI; BRCC1; PNCA4; RNF53; BROVCA1; PPP1R53 |
|
SwissProt: |
P38398 |
|
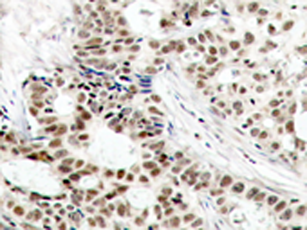
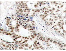
IHC positive control: |
Human breast carcinoma |
|
IHC Recommend dilution: |
50-100 |
|
WB Predicted band size: |
208 kDa |
|
WB Positive control: |
HT29 cells untreated or treated with Anisomycin |
|
WB Recommended dilution: |
500-1000 |


購物車
幫助
021-54845833/15800441009
