中文名稱:兔抗BECN1多克隆抗體
|
Background: |
This gene encodes a protein that regulates autophagy, a catabolic process of degradation induced by starvation. The encoded protein is a component of the phosphatidylinositol-3-kinase (PI3K) complex which mediates vesicle-trafficking processes. This protein is thought to play a role in multiple cellular processes, including tumorigenesis, neurodegeneration and apoptosis. Alternative splicing results in multiple transcript variants. |
|
Applications: |
ELISA, WB, IHC |
|
Name of antibody: |
BECN1 |
|
Immunogen: |
Synthetic peptide of human BECN1 |
|
Full name: |
beclin 1 |
|
Synonyms: |
ATG6; VPS30; beclin1 |
|
SwissProt: |
Q14457 |
|
ELISA Recommended dilution: |
5000-10000 |
|
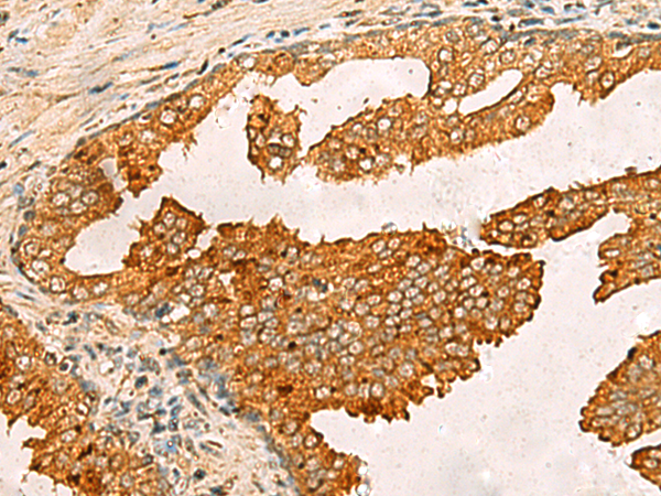
IHC positive control: |
Human prostate cancer and Human tonsil |
|
IHC Recommend dilution: |
50-100 |
|
WB Predicted band size: |
52 kDa |
|
WB Positive control: |
Jurkat cell, 231 cell, NIH/3T3 cell, Human fetal brain tissue, 293T and Raji cell lysates |
|
WB Recommended dilution: |
500-2000 |


購(gòu)物車
幫助
021-54845833/15800441009
