中文名稱: 兔抗BBS1多克隆抗體
|
Background: |
Mutations in this gene have been observed in patients with the major form (type 1) of Bardet-Biedl syndrome. The encoded protein may play a role in eye, limb, cardiac and reproductive system development. |
|
Applications: |
ELISA, IHC |
|
Name of antibody: |
BBS1 |
|
Immunogen: |
Fusion protein of human BBS1 |
|
Full name: |
Bardet-Biedl syndrome 1 |
|
Synonyms: |
BBS2L2 |
|
SwissProt: |
Q8NFJ9 |
|
ELISA Recommended dilution: |
5000-10000 |
|
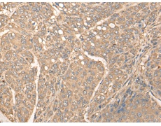
IHC positive control: |
Human liver cancer |
|
IHC Recommend dilution: |
25-100 |

購物車
幫助
021-54845833/15800441009
