中文名稱:兔抗BACE2多克隆抗體
|
Background: |
This gene encodes an integral membrane glycoprotein that functions as an aspartic protease. The encoded protein cleaves amyloid precursor protein into amyloid beta peptide, which is a critical step in the etiology of Alzheimer's disease and Down syndrome. The protein precursor is further processed into an active mature peptide. Alternative splicing results in multiple transcript variants. |
|
Applications: |
ELISA, IHC |
|
Name of antibody: |
BACE2 |
|
Immunogen: |
Synthetic peptide of human BACE2 |
|
Full name: |
beta-site APP-cleaving enzyme 2 |
|
Synonyms: |
ASP1; BAE2; DRAP; AEPLC; ALP56; ASP21; CDA13; CEAP1 |
|
SwissProt: |
Q9Y5Z0 |
|
ELISA Recommended dilution: |
5000-10000 |
|
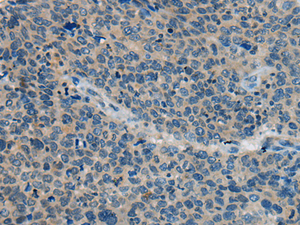
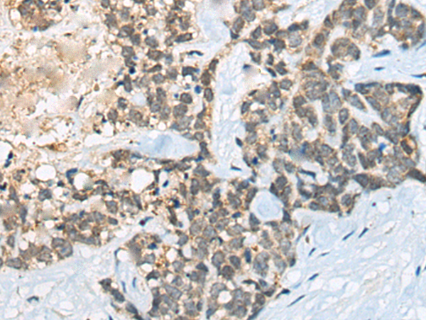
IHC positive control: |
Human cervical cancer and human thyroid cancer |
|
IHC Recommend dilution: |
30-150 |


購物車
幫助
021-54845833/15800441009
