中文名稱: 兔抗ASTE1多克隆抗體
|
Background: |
Possible role in EGF receptor signaling. |
|
Applications: |
ELISA, WB, IHC |
|
Name of antibody: |
ASTE1 |
|
Immunogen: |
Fusion protein of human ASTE1 |
|
Full name: |
asteroid homolog 1 |
|
Synonyms: |
HT001 |
|
SwissProt: |
Q2TB18 |
|
ELISA Recommended dilution: |
5000-10000 |
|
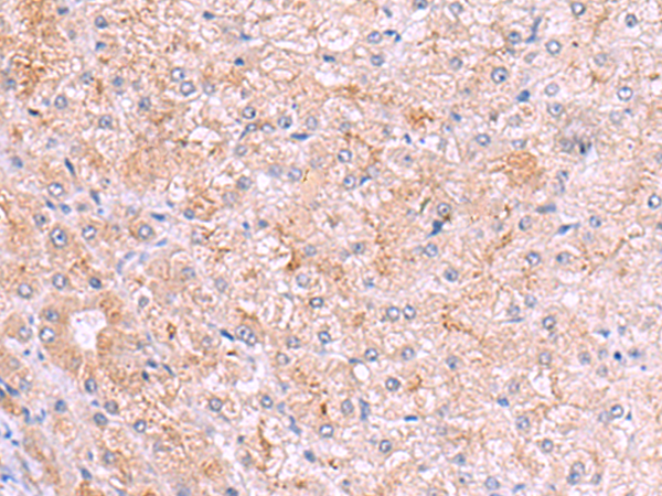
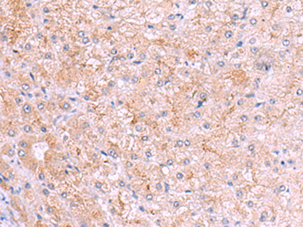
IHC positive control: |
Human liver cancer |
|
IHC Recommend dilution: |
50-300 |
|
WB Predicted band size: |
77 kDa |
|
WB Positive control: |
A172 cell lysate |
|
WB Recommended dilution: |
200-1000 |
購物車
幫助
021-54845833/15800441009
