|
Background: |
The protein encoded by this gene is a member of the interleukin 1 cytokine family. This cytokine is a pleiotropic cytokine involved in various immune responses, inflammatory processes, and hematopoiesis. This cytokine is produced by monocytes and macrophages as a proprotein, which is proteolytically processed and released in response to cell injury, and thus induces apoptosis. This gene and eight other interleukin 1 family genes form a cytokine gene cluster on chromosome 2. It has been suggested that the polymorphism of these genes is associated with rheumatoid arthritis and Alzheimer's disease. |
|
Applications: |
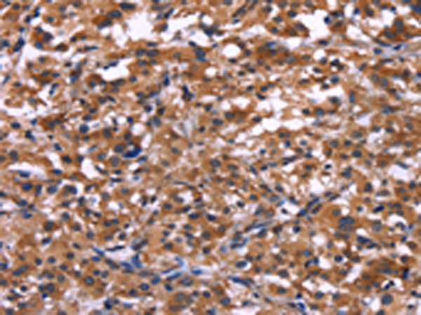
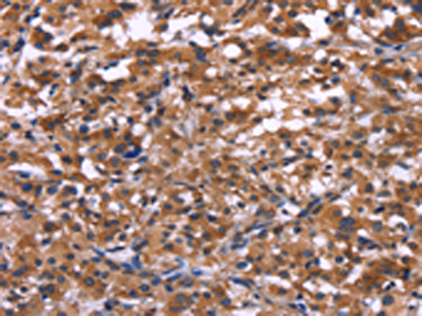
ELISA, IHC |
|
Name of antibody: |
IL1A |
|
Immunogen: |
Fusion protein of human IL1A |
|
Full name: |
interleukin 1, alpha |
|
Synonyms: |
IL1; IL-1A; IL1F1; IL1-ALPHA |
|
SwissProt: |
P01583 |
|
ELISA Recommended dilution: |
2000-5000 |
|
IHC positive control: |
Human thyroid cancer and human liver cancer |
|
IHC Recommend dilution: |
50-200 |

購物車
幫助
021-54845833/15800441009
