|
Background: |
This gene encodes an A20-binding protein which plays a role in autoimmunity and tissue homeostasis through the regulation of nuclear factor kappa-B activation. Mutations in this gene have been associated with psoriatic arthritis, rheumatoid arthritis, and systemic lupus erythematosus. Multiple transcript variants encoding different isoforms have been found for this gene. |
|
Applications: |
ELISA, WB, IHC |
|
Name of antibody: |
TNIP1 |
|
Immunogen: |
Synthetic peptide of humanTNIP1 |
|
Full name: |
TNFAIP3 interacting protein 1 |
|
Synonyms: |
VAN; NAF1; ABIN-1; nip40-1 |
|
SwissProt: |
Q15025 |
|
ELISA Recommended dilution: |
2000-5000 |
|
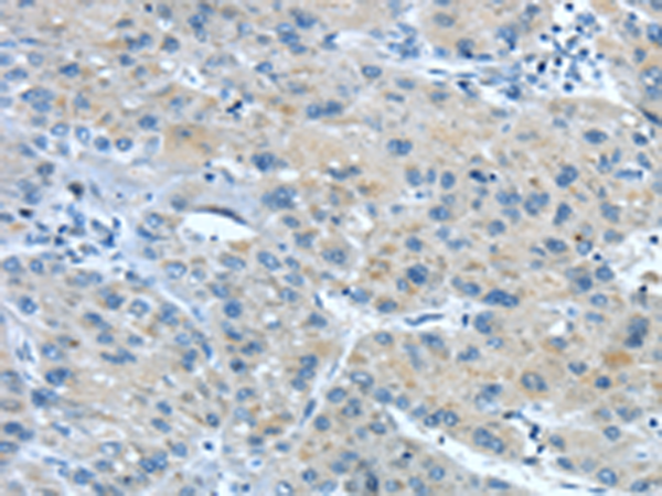
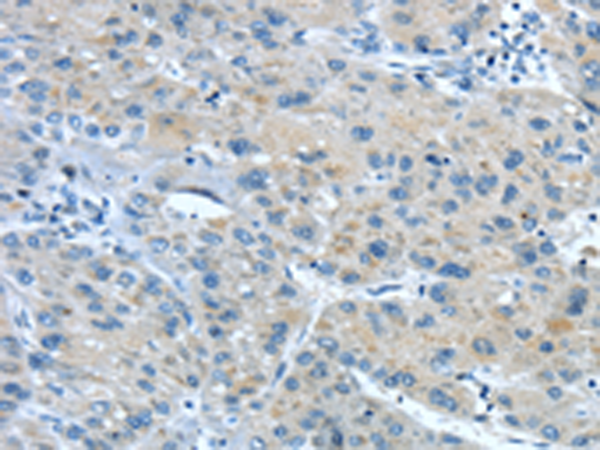
IHC positive control: |
Human liver cancer |
|
IHC Recommend dilution: |
25-100 |
|
WB Predicted band size: |
72 kDa |
|
WB Positive control: |
Mouse muscle tissue and Hela cells |
|
WB Recommended dilution: |
500-2000 |

購物車
幫助
021-54845833/15800441009
