|
Background: |
The C3b/C4b receptor (CR1; 120620) is important in immune complex processing. On phagocytic cells it promotes the adherence and sometimes the endocytosis of C3b- and C4b-coated particles. CR1 is composed largely of a tandemly repeated motif of approximately 60 amino acids, the short consensus repeat (SCR). |
|
Applications: |
ELISA, IHC |
|
Name of antibody: |
CR1L |
|
Immunogen: |
Synthetic peptide of human CR1L |
|
Full name: |
complement C3b/C4b receptor 1 like |
|
SwissProt: |
Q2VPA4 |
|
ELISA Recommended dilution: |
5000-10000 |
|
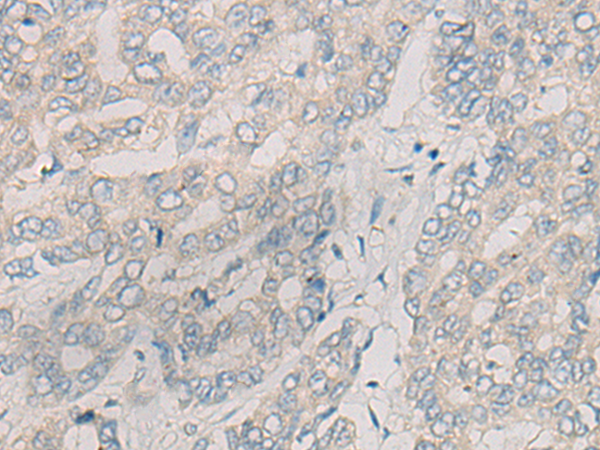
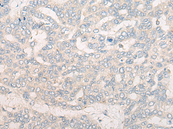
IHC positive control: |
Human liver cancer and Human gastric cancer |
|
IHC Recommend dilution: |
20-100 |



購物車
幫助
021-54845833/15800441009
