中文名稱:兔抗TNFAIP3多克隆抗體
|
Background: |
This gene was identified as a gene whose expression is rapidly induced by the tumor necrosis factor (TNF). The protein encoded by this gene is a zinc finger protein and ubiqitin-editing enzyme, and has been shown to inhibit NF-kappa B activation as well as TNF-mediated apoptosis. The encoded protein, which has both ubiquitin ligase and deubiquitinase activities, is involved in the cytokine-mediated immune and inflammatory responses. Several transcript variants encoding the same protein have been found for this gene. |
|
Applications: |
ELISA, IHC |
|
Name of antibody: |
TNFAIP3 |
|
Immunogen: |
Fusion protein of human TNFAIP3 |
|
Full name: |
TNF alpha induced protein 3 |
|
Synonyms: |
A20; AISBL; OTUD7C; TNFA1P2 |
|
SwissProt: |
P21580 |
|
ELISA Recommended dilution: |
5000-10000 |
|
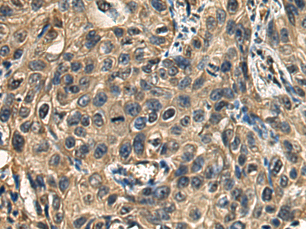
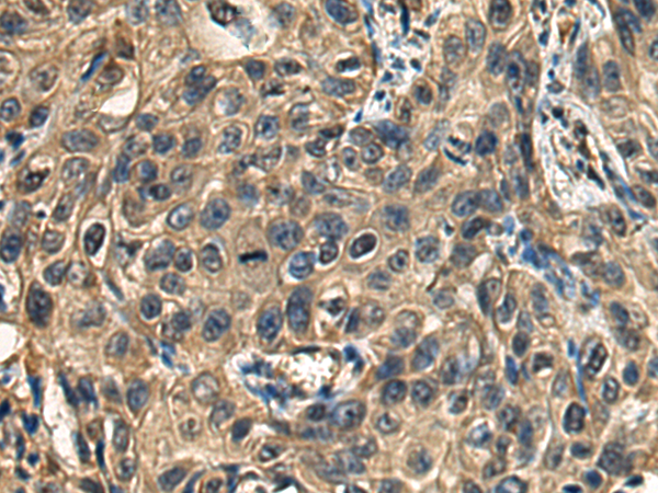
IHC positive control: |
Human esophagus cancer |
|
IHC Recommend dilution: |
200-400 |
購(gòu)物車
幫助
021-54845833/15800441009
