|
Background: |
The protein encoded by this gene contains a type 1 thrombospondin domain, which is found in a number of proteins involved in the complement pathway, as well as in extracellular matrix proteins. Alternatively spliced transcript variants encoding different isoforms have been observed for this gene. |
|
Applications: |
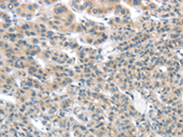
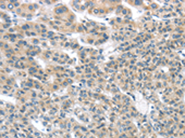
ELISA, IHC |
|
Name of antibody: |
THSD1 |
|
Immunogen: |
Fusion protein of human THSD1 |
|
Full name: |
thrombospondin, type I, domain containing 1 |
|
Synonyms: |
TMTSP; UNQ3010 |
|
SwissProt: |
Q9NS62 |
|
ELISA Recommended dilution: |
2000-5000 |
|
IHC positive control: |
Human liver cancer |
|
IHC Recommend dilution: |
25-100 |
購物車
幫助
021-54845833/15800441009
