|
Background: |
The protein encoded by this gene is similar to the gene product of S14, a rat gene whose expression is limited to liver and adipose tissue and is controlled by nutritional and hormonal factors. This gene has been shown to be expressed in liver and adipocytes, particularly in lipomatous modules. It is also found to be expressed in lipogenic breast cancers, which suggests a role in controlling tumor lipid metabolism. |
|
Applications: |
ELISA, WB, IHC |
|
Name of antibody: |
THRSP |
|
Immunogen: |
Full length fusion protein |
|
Full name: |
thyroid hormone responsive |
|
Synonyms: |
S14; Lpgp; THRP; LPGP1; SPOT14 |
|
SwissProt: |
Q92748 |
|
ELISA Recommended dilution: |
2000-10000 |
|
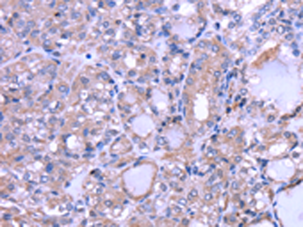
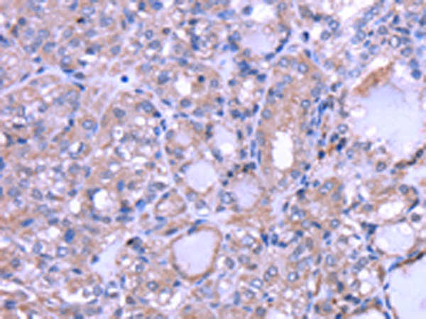
IHC positive control: |
Human thyroid cancer |
|
IHC Recommend dilution: |
25-100 |
|
WB Predicted band size: |
17 kDa |
|
WB Positive control: |
Human normal liver tissue |
|
WB Recommended dilution: |
1000-5000 |

購物車
幫助
021-54845833/15800441009
