|
Background: |
This gene encodes a transcription factor that binds to the sterol regulatory element-1 (SRE1), which is a decamer flanking the low density lipoprotein receptor gene and some genes involved in sterol biosynthesis. The protein is synthesized as a precursor that is attached to the nuclear membrane and endoplasmic reticulum. Following cleavage, the mature protein translocates to the nucleus and activates transcription by binding to the SRE1. Sterols inhibit the cleavage of the precursor, and the mature nuclear form is rapidly catabolized, thereby reducing transcription. The protein is a member of the basic helix-loop-helix-leucine zipper (bHLH-Zip) transcription factor family. This gene is located within the Smith-Magenis syndrome region on chromosome 17. Two transcript variants encoding different isoforms have been found for this gene. |
|
Applications: |
ELISA, WB, IHC |
|
Name of antibody: |
SREBF1 |
|
Immunogen: |
KLH conjugated synthetic peptide derived from human SREBP-1 N-terminus |
|
Full name: |
sterol regulatory element binding transcription factor 1 |
|
Synonyms: |
SREBP1; bHLHd1; SREBP-1c |
|
SwissProt: |
P36956 |
|
ELISA Recommended dilution: |
500-1000 |
|
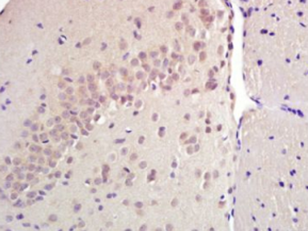
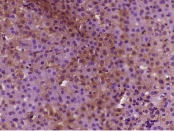
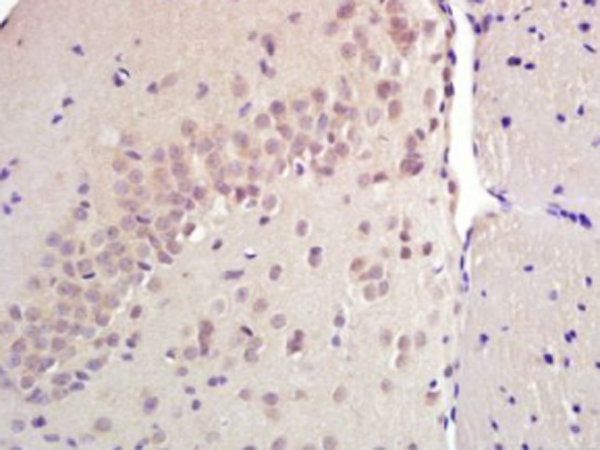
IHC positive control: |
rat adrenal gland and rat brain |
|
IHC Recommend dilution: |
30-150 |
|
WB Predicted band size: |
54/126 kDa |
|
WB Positive control: |
Mouse lung tissue, Mouse ovary tissue, Mouse skin tissue cell lysates |
|
WB Recommended dilution: |
100-500 |


購(gòu)物車(chē)
幫助
021-54845833/15800441009
