|
Background: |
The Spata6 gene consists of 15 exons ranging in size between 40 and 596 bp. It may play a role in spermatid maturation or sperm function. The Spata6 gene was localized to chromosome 5, region q34-35 in the rat and to chromosome 1, region p32-35 in the human. |
|
Applications: |
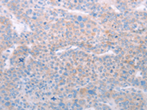
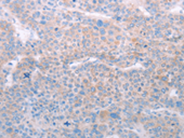
ELISA, IHC |
|
Name of antibody: |
SPATA6 |
|
Immunogen: |
Fusion protein of human SPATA6 |
|
Full name: |
spermatogenesis associated 6 |
|
Synonyms: |
HASH; SRF1; SRF-1 |
|
SwissProt: |
Q9NWH7 |
|
ELISA Recommended dilution: |
2000-5000 |
|
IHC positive control: |
Human liver cancer and human lung cancer |
|
IHC Recommend dilution: |
25-100 |
購(gòu)物車(chē)
幫助
021-54845833/15800441009
