|
Background: |
Arg and c-Abl represent the mammalian members of the Abelson family of non-receptor protein-tyrosine kinases. They interact with the Arg/Abl binding proteins via the SH3 domains present in the carboxy end of the latter group of proteins. This gene encodes the sorbin and SH3 domain containing 2 protein. It has three C-terminal SH3 domains and an N-terminal sorbin homology (SoHo) domain that interacts with lipid raft proteins. The subcellular localization of this protein in epithelial and cardiac muscle cells suggests that it functions as an adapter protein to assemble signaling complexes in stress fibers, and that it is a potential link between Abl family kinases and the actin cytoskeleton. Alternative splicing results in multiple transcript variants encoding different isoforms. |
|
Applications: |
ELISA, WB, IHC |
|
Name of antibody: |
SORBS2 |
|
Immunogen: |
Fusion protein of human SORBS2 |
|
Full name: |
sorbin and SH3 domain containing 2 |
|
Synonyms: |
ARGBP2; PRO0618 |
|
SwissProt: |
O94875 |
|
ELISA Recommended dilution: |
5000-10000 |
|
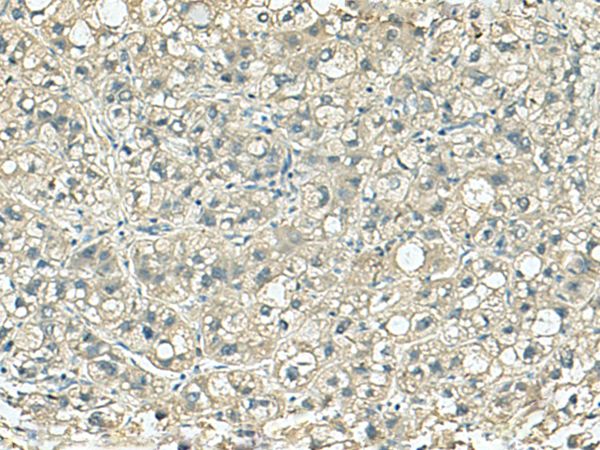
IHC positive control: |
Human liver cancer |
|
IHC Recommend dilution: |
150-300 |
|
WB Predicted band size: |
124 kDa |
|
WB Positive control: |
LO2 and 231 cell lysates |
|
WB Recommended dilution: |
1000-5000 |

購物車
幫助
021-54845833/15800441009
