|
Background: |
Two types of spliceosomes catalyze splicing of pre-mRNAs. The major U2-type spliceosome is found in all eukaryotes and removes U2-type introns, which represent more than 99% of pre-mRNA introns. The minor U12-type spliceosome is found in some eukaryotes and removes U12-type introns, which are rare and have distinct splice consensus signals. The U12-type spliceosome consists of several small nuclear RNAs and associated proteins. This gene encodes a 25K protein that is a component of the U12-type spliceosome. |
|
Applications: |
ELISA, IHC |
|
Name of antibody: |
SNRNP25 |
|
Immunogen: |
Fusion protein of human SNRNP25 |
|
Full name: |
small nuclear ribonucleoprotein U11/U12 subunit 25 |
|
Synonyms: |
C16orf33 |
|
SwissProt: |
Q9BV90 |
|
ELISA Recommended dilution: |
5000-10000 |
|
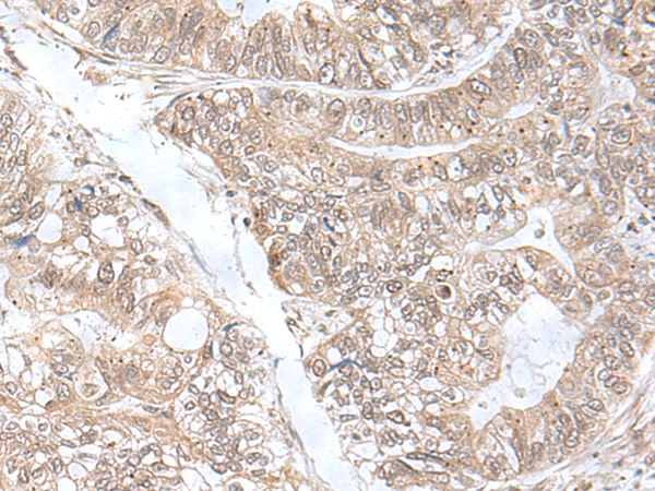
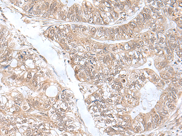
IHC positive control: |
Human ovarian cancer and Human gastric cancer |
|
IHC Recommend dilution: |
50-300 |
購物車
幫助
021-54845833/15800441009
