|
Background: |
The protein encoded by this gene is part of a complex that relieves repressive chromatin structures, allowing the transcriptional machinery to access its targets more effectively. The encoded nuclear protein may also bind to and enhance the DNA joining activity of HIV-1 integrase. This gene has been found to be a tumor suppressor, and mutations in it have been associated with malignant rhabdoid tumors. Two transcript variants encoding different isoforms have been found for this gene. |
|
Applications: |
ELISA, WB, IHC |
|
Name of antibody: |
SMARCB1 |
|
Immunogen: |
Fusion protein of human SMARCB1 |
|
Full name: |
SWI/SNF related, matrix associated, actin dependent regulator of chromatin, subfamily b, member 1 |
|
Synonyms: |
RDT; INI1; SNF5; Snr1; BAF47; MRD15; RTPS1; Sfh1p; hSNFS; SNF5L1; SWNTS1; PPP1R144 |
|
SwissProt: |
Q12824 |
|
ELISA Recommended dilution: |
2000-5000 |
|
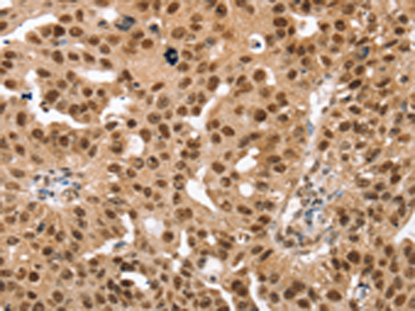
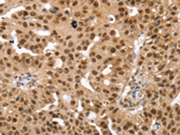
IHC positive control: |
Human breast cancer and human brain |
|
IHC Recommend dilution: |
25-100 |
|
WB Predicted band size: |
44 kDa |
|
WB Positive control: |
Hepg2, K562 and Jurkat cells |
|
WB Recommended dilution: |
500-2000 |
購物車
幫助
021-54845833/15800441009
