|
Background: |
This locus encodes a member of the organic anion-transporting polypeptide family of membrane proteins. The protein encoded by this locus may function in regulation of placental uptake of sulfated steroids. Alternatively spliced transcript variants have been described. |
|
Applications: |
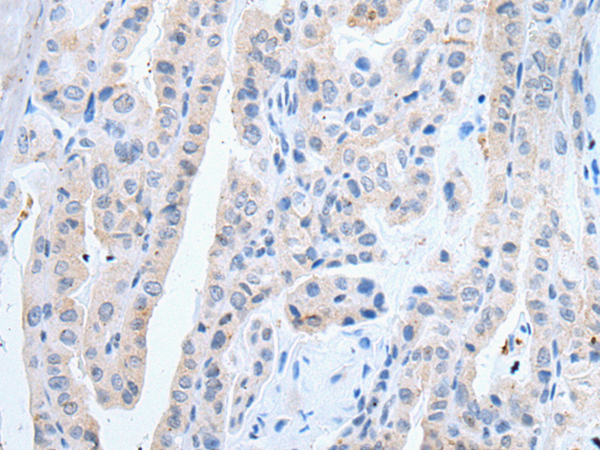
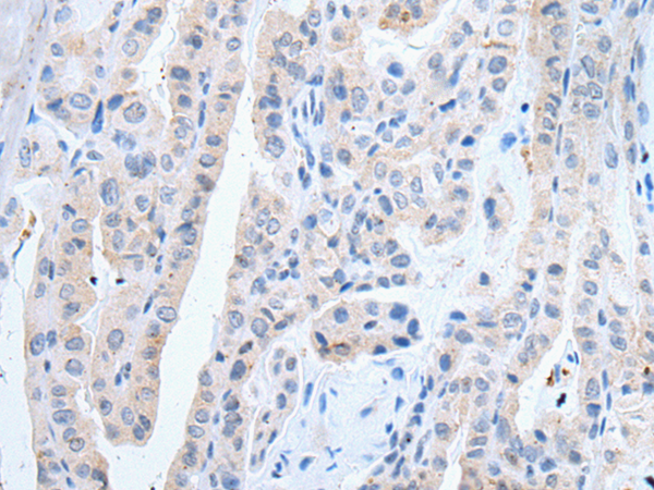
ELISA, IHC |
|
Name of antibody: |
SLCO2B1 |
|
Immunogen: |
Synthetic peptide of human SLCO2B1 |
|
Full name: |
solute carrier organic anion transporter family member 2B1 |
|
Synonyms: |
OATPB; OATP-B; OATP2B1; SLC21A9 |
|
SwissProt: |
O94956 |
|
ELISA Recommended dilution: |
5000-10000 |
|
IHC positive control: |
Human thyroid cancer |
|
IHC Recommend dilution: |
20-100 |
購(gòu)物車(chē)
幫助
021-54845833/15800441009
