|
Background: |
This gene encodes a member of a family of proteins that function as zinc transporters. This protein can regulate subcellular levels of zinc in the Golgi and vesicles. Expression of this gene is altered in the Alzheimer's disease brain plaques. |
|
Applications: |
ELISA, IHC |
|
Name of antibody: |
SLC30A6 |
|
Immunogen: |
Fusion protein of human SLC30A6 |
|
Full name: |
solute carrier family 30 member 6 |
|
Synonyms: |
ZNT6; MST103; MSTP103 |
|
SwissProt: |
Q6NXT4 |
|
ELISA Recommended dilution: |
5000-10000 |
|
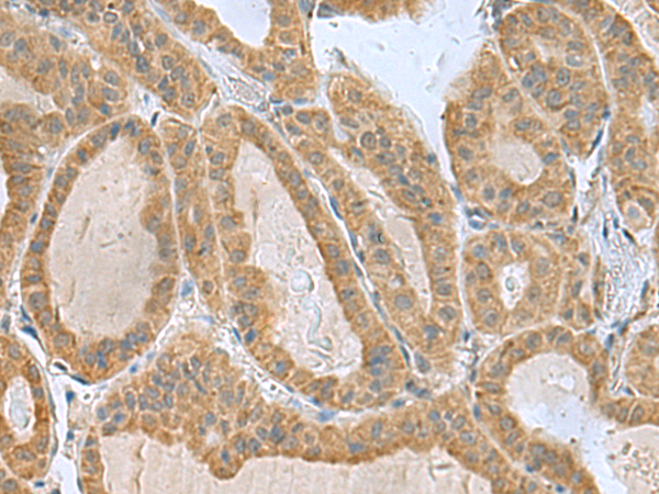
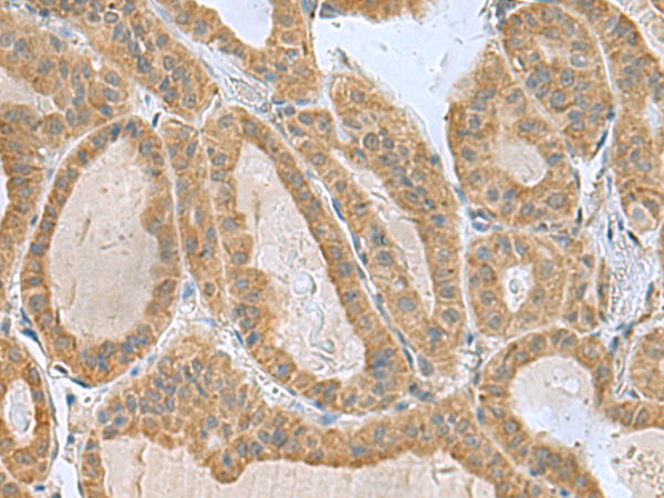
IHC positive control: |
Human thyroid cancer |
|
IHC Recommend dilution: |
50-200 |
購物車
幫助
021-54845833/15800441009
