中文名稱:兔抗SLC25A13多克隆抗體
|
Background: |
This gene is a member of the mitochondrial carrier family. The encoded protein contains four EF-hand Ca(2+) binding motifs in the N-terminal domain, and localizes to mitochondria. The protein catalyzes the exchange of aspartate for glutamate and a proton across the inner mitochondrial membrane, and is stimulated by calcium on the external side of the inner mitochondrial membrane. Mutations in this gene result in citrullinemia, type II. Multiple transcript variants encoding different isoforms have been found for this gene. |
|
Applications: |
ELISA, WB, IHC |
|
Name of antibody: |
SLC25A13 |
|
Immunogen: |
Fusion protein of human SLC25A13 |
|
Full name: |
solute carrier family 25 (aspartate/glutamate carrier), member 13 |
|
Synonyms: |
CTLN2; CITRIN; ARALAR2 |
|
SwissProt: |
Q9UJS0 |
|
ELISA Recommended dilution: |
2000-5000 |
|
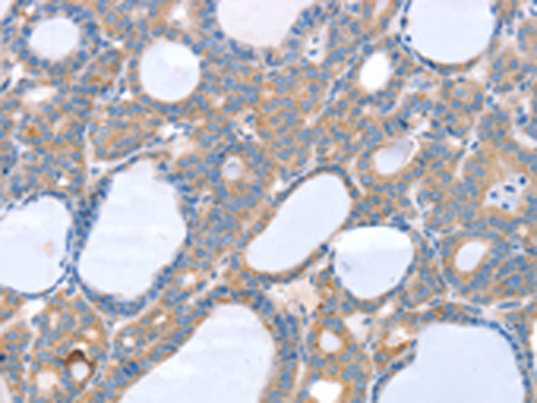
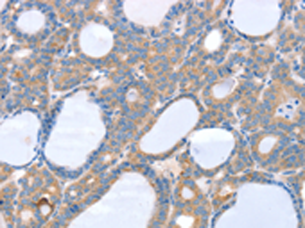
IHC positive control: |
Human thyroid cancer and human liver cancer |
|
IHC Recommend dilution: |
25-100 |
|
WB Recommended dilution: |
500-2000 |
|
WB Positive control: |
Hepg2, A172 and Raji cells |
|
WB Predicted band size: |
74 kDa |

購物車
幫助
021-54845833/15800441009
