中文名稱: 兔抗MADCAM1多克隆抗體
|
Background: |
The protein encoded by this gene is an endothelial cell adhesion molecule that interacts preferentially with the leukocyte beta7 integrin LPAM-1 (alpha4beta7), L-selectin, and VLA-4 (alpha4beta1) on myeloid cells to direct leukocytes into mucosal and inflamed tissues. It is a member of the immunoglobulin family and is similar to ICAM1 and VCAM1. At least seven alternatively spliced transcripts encoding different protein isoforms have been found for this gene, but the full-length nature of some variants has not been determined. |
|
Applications: |
ELISA, WB, IHC |
|
Name of antibody: |
MADCAM1 |
|
Immunogen: |
Synthetic peptide of human MADCAM1 |
|
Full name: |
mucosal vascular addressin cell adhesion molecule 1 |
|
Synonyms: |
MACAM1 |
|
SwissProt: |
Q13477 |
|
ELISA Recommended dilution: |
5000-10000 |
|
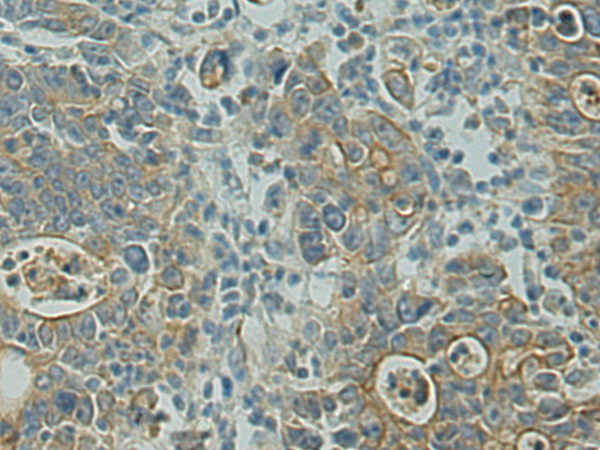
IHC positive control: |
Human liver cancer |
|
IHC Recommend dilution: |
50-100 |
|
WB Predicted band size: |
40 kDa |
|
WB Positive control: |
Mouse liver tissue lysate |
|
WB Recommended dilution: |
500-2000 |


購物車
幫助
021-54845833/15800441009
