中文名稱: 兔抗GSK3A (Phospho-Ser21)多克隆抗體
|
Background: |
This gene encodes a multifunctional Ser/Thr protein kinase that is implicated in the control of several regulatory proteins including glycogen synthase, and transcription factors, such as JUN. It also plays a role in the WNT and PI3K signaling pathways, as well as regulates the production of beta-amyloid peptides associated with Alzheimer's disease. |
|
Applications: |
WB, IHC, IF |
|
Name of antibody: |
GSK3A (Phospho-Ser21) |
|
Immunogen: |
Synthetic peptide of human GSK3A (Phospho-Ser21) |
|
Full name: |
glycogen synthase kinase 3 alpha (Phospho-Ser21) |
|
SwissProt: |
P49840 |
|
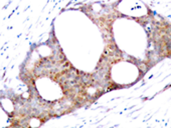
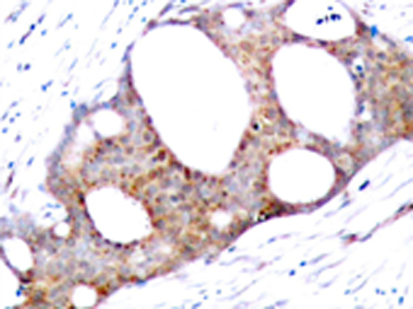
IHC positive control: |
Human breast carcinoma |
|
IHC Recommend dilution: |
50-100 |
|
WB Predicted band size: |
51 kDa |
|
WB Positive control: |
293 cells treated with serum |
|
WB Recommended dilution: |
500-1000 |
|
IF Positive control: |
Hela cells |
|
IF Recommended dilution |
100-200 |


購物車
幫助
021-54845833/15800441009
