|
Background: |
Glutamate receptors are the predominant excitatory neurotransmitter receptors in the mammalian brain and are activated in a variety of normal neurophysiologic processes. This gene product belongs to a family of glutamate receptors that are sensitive to alpha-amino-3-hydroxy-5-methyl-4-isoxazole propionate (AMPA), and function as ligand-activated cation channels. These channels are assembled from 4 related subunits, GRIA1-4. The subunit encoded by this gene (GRIA2) is subject to RNA editing (CAG->CGG; Q->R) within the second transmembrane domain, which is thought to render the channel impermeable to Ca(2+). Human and animal studies suggest that pre-mRNA editing is essential for brain function, and defective GRIA2 RNA editing at the Q/R site may be relevant to amyotrophic lateral sclerosis (ALS) etiology. Alternative splicing, resulting in transcript variants encoding different isoforms, (including the flip and flop isoforms that vary in their signal transduction properties), has been noted for this gene. |
|
Applications: |
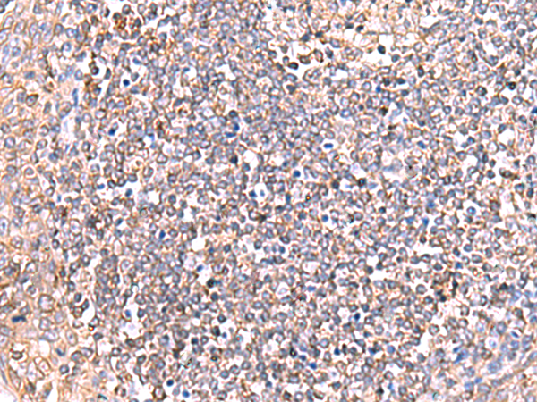
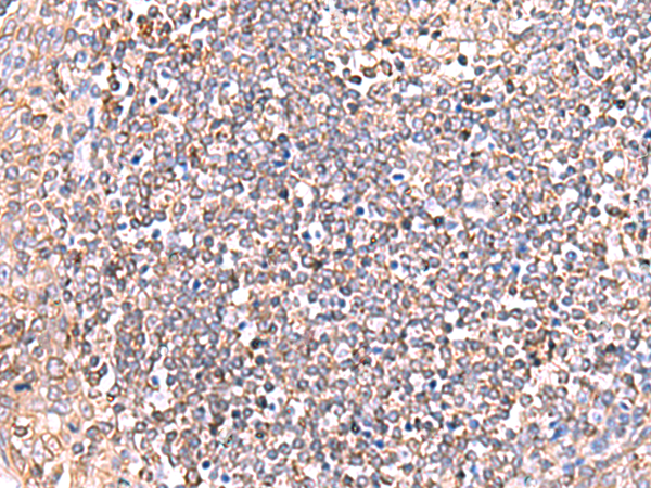
ELISA, IHC |
|
Name of antibody: |
GRIA2 |
|
Immunogen: |
Synthetic peptide of human GRIA2 |
|
Full name: |
glutamate ionotropic receptor AMPA type subunit 2 |
|
Synonyms: |
GLUR2; GLURB; GluA2; HBGR2; GluR-K2 |
|
SwissProt: |
P42262 |
|
ELISA Recommended dilution: |
5000-10000 |
|
IHC positive control: |
Human tonsil |
|
IHC Recommend dilution: |
50-300 |

購(gòu)物車(chē)
幫助
021-54845833/15800441009
