|
Background: |
Receptor for endocannabinoid N-arachidonyl glycine (NAGly) (PubMed:16844083, PubMed:24762058, PubMed:27572937). However, conflicting results about the role of NAGly as an agonist are reported (PubMed:27018161). Can also be activated by plant-derived and synthetic cannabinoid agonists (PubMed:24762058). The activity of this receptor is mediated by G proteins which inhibit adenylyl cyclase (PubMed:16844083). May contribute to regulation of the immune system. Is required for normal homeostasis of CD8+ subsets of intraepithelial lymphocytes (IELs) (CD8alphaalpha and CD8alphabeta IELs)in small intstine by supporting preferential migration of CD8alphaalpha T-cells to intraepithelial compartment over lamina propria compartment, and by mediating their reconstitution into small intestine after bone marrow transplant (By similarity). Plays a role in hypotensive responses, mediating reduction in intraocular and blood pressure (By similarity). Mediates NAGly-induced process of reorganization of actin filaments and induction of acrosomal exocytosis (PubMed:27572937). |
|
Applications: |
ELISA, IHC |
|
Name of antibody: |
GPR18 |
|
Immunogen: |
Synthetic peptide of human GPR18 |
|
Full name: |
G protein-coupled receptor 18 |
|
SwissProt: |
Q14330 |
|
ELISA Recommended dilution: |
500-1000 |
|
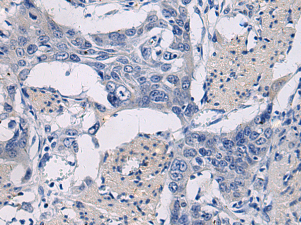
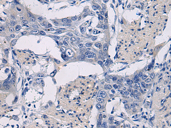
IHC positive control: |
Human esophagus cancer |
|
IHC Recommend dilution: |
25-50 |

購物車
幫助
021-54845833/15800441009
