|
Background: |
Transcription factor involved in the regulation of the insulin signaling pathway. Binds to insulin-response elements (IREs) and can activate transcription of IGFBP1. Down-regulates expression of HIF1A and suppresses hypoxia-induced transcriptional activation of HIF1A-modulated genes. Also involved in negative regulation of the cell cycle. |
|
Applications: |
WB, IHC, IF |
|
Name of antibody: |
FOXO4 (Phospho-Ser197) |
|
Immunogen: |
Synthetic peptide of human FOXO4 (Phospho-Ser197) |
|
Full name: |
forkhead box O4 (Phospho-Ser197) |
|
Synonyms: |
AFX; AFX1; MLLT7 |
|
SwissProt: |
P98177 |
|
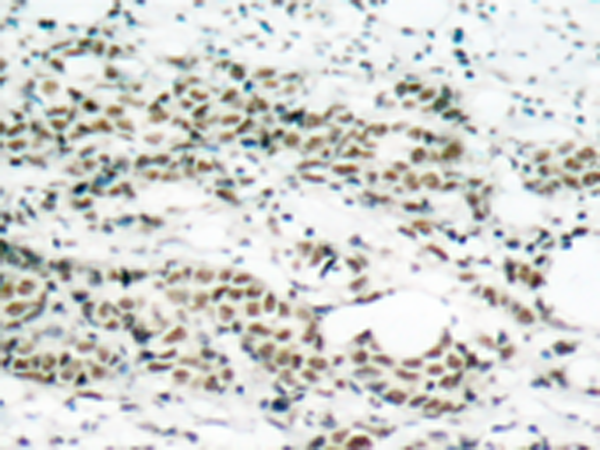
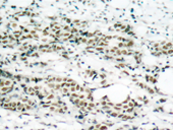
IHC positive control: |
Human breast carcinoma |
|
IHC Recommend dilution: |
50-100 |
|
WB Predicted band size: |
54 kDa |
|
WB Positive control: |
293 cells untreated or treated with serum |
|
WB Recommended dilution: |
500-1000 |
|
IF Positive control: |
MCF7 cells |
|
IF Recommended dilution |
100-200 |



購物車
幫助
021-54845833/15800441009
