Background:
The four human glycoprotein hormones chorionic gonadotropin (CG), luteinizing hormone (LH), follicle stimulating hormone (FSH), and thyroid stimulating hormone (TSH) are dimers consisting of alpha and beta subunits that are associated noncovalently. The alpha subunits of these hormones are identical, however, their beta chains are unique and confer biological specificity. Thyroid stimulating hormone functions in the control of thyroid structure and metabolism. The protein encoded by this gene is the beta subunit of thyroid stimulating hormone. Mutations in this gene are associated with congenital central and secondary hypothyroidism and Hashimoto's thyroiditis. Alternative splicing of this gene results in multiple transcript variants.
Applications:
ELISA, IHC
Name of antibody:
TSHB
Immunogen:
Synthetic peptide of human TSHB
Full name:
thyroid stimulating hormone beta
Synonyms:
TSH-B; TSH-BETA
SwissProt:
P01222
ELISA Recommended dilution:
5000-10000
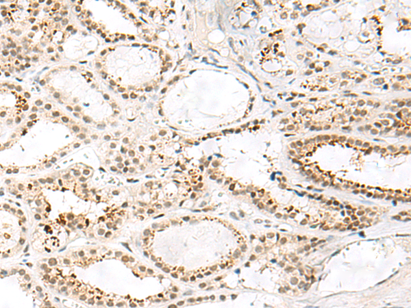
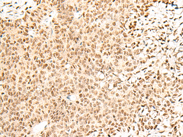
IHC positive control:
Human tonsil
IHC Recommend dilution:
40-200

購物車
幫助
021-54845833/15800441009
