|
Background: |
The protein encoded by this gene is a member of the FPS/FES family of non-transmembrane receptor tyrosine kinases. It regulates cell-cell adhesion and mediates signaling from the cell surface to the cytoskeleton via growth factor receptors. Alternative splicing results in multiple transcript variants. A related pseudogene has been identified on chromosome X. |
|
Applications: |
ELISA, IHC |
|
Name of antibody: |
FER |
|
Immunogen: |
Synthetic peptide of human FER |
|
Full name: |
FER tyrosine kinase |
|
Synonyms: |
TYK3; PPP1R74; p94-Fer |
|
SwissProt: |
P16591 |
|
ELISA Recommended dilution: |
5000-10000 |
|
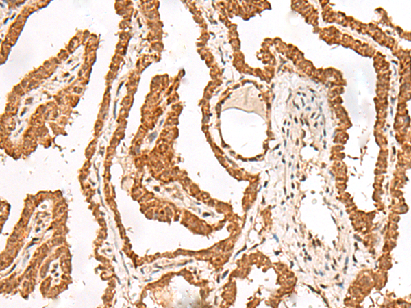
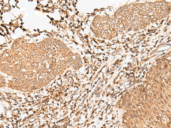
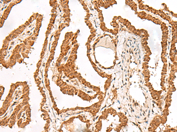
IHC positive control: |
Human esophagus cancer and Human thyroid cancer |
|
IHC Recommend dilution: |
50-300 |

購物車
幫助
021-54845833/15800441009
