中文名稱: 兔抗UBTF多克隆抗體
|
Background: |
This gene encodes a member of the HMG-box DNA-binding protein family. The encoded protein plays a critical role in ribosomal RNA transcription as a key component of the pre-initiation complex, mediating the recruitment of RNA polymerase I to rDNA promoter regions. The encoded protein may also play important roles in chromatin remodeling and pre-rRNA processing, and its activity is regulated by both phosphorylation and acetylation. Alternatively spliced transcript variants encoding multiple isoforms have been observed for this gene. Pseudogenes of this gene are located on the short arm of chromosomes 3, 11 and X and the long arm of chromosome 11. |
|
Applications: |
ELISA, IHC |
|
Name of antibody: |
UBTF |
|
Immunogen: |
Synthetic peptide of human UBTF |
|
Full name: |
upstream binding transcription factor, RNA polymerase I |
|
Synonyms: |
UBF; UBF1; UBF2; UBF-1; NOR-90 |
|
SwissProt: |
P17480 |
|
ELISA Recommended dilution: |
5000-10000 |
|
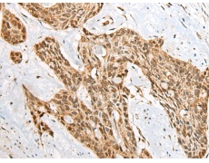
IHC positive control: |
Human esophagus cancer |
|
IHC Recommend dilution: |
25-100 |
購物車
幫助
021-54845833/15800441009
