Background:
This gene is a member of the F-box family. Members are classified into three classes according to the substrate interaction domain, FBW for WD40 repeats, FBL for leucing-rich repeats, and FBXO for other domains. This protein, classified into the last category because of the lack of a recognizable substrate binding domain, has been proposed to be a component of the SCF ubiquitination complex. It is thought to bind and recruit substrate for ubiquitination and degradation. This protein may have a role in regulating the cell cycle as well as dendrite growth and neuronal migration. Alternative splicing results in multiple transcript variants.
Applications:
ELISA, IHC
Name of antibody:
FBXO31
Immunogen:
Synthetic peptide of human FBXO31
Full name:
F-box protein 31
Synonyms:
FBX14; Fbx31; MRT45; FBXO14; pp2386
SwissProt:
Q5XUX0
ELISA Recommended dilution:
500-1000
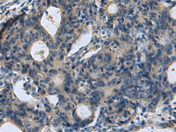
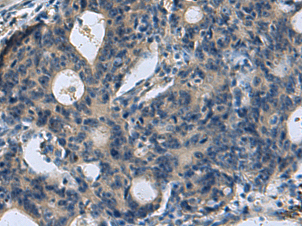
IHC positive control:
Human liver cancer and Human colorectal cancer
IHC Recommend dilution:
25-50

購物車
幫助
021-54845833/15800441009
