|
Background: |
This locus represents a transcribed pseudogene that is related to genes encoding members of the F-box family of proteins. [provided by RefSeq, Nov 2017] |
|
Applications: |
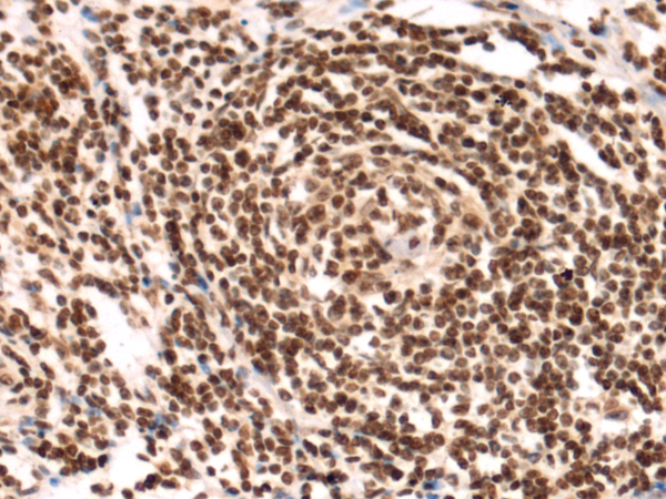
ELISA, IHC |
|
Name of antibody: |
FBXL21P |
|
Immunogen: |
Fusion protein of human FBXL21P |
|
Full name: |
F-box and leucine rich repeat protein 21, pseudogene |
|
Synonyms: |
FBL3B; Fbl21; FBXL21; FBXL3B; FBXL3P |
|
SwissProt: |
Q9UKT6 |
|
ELISA Recommended dilution: |
5000-10000 |
|
IHC positive control: |
Human gastric cancer |
|
IHC Recommend dilution: |
200-300 |

購(gòu)物車
幫助
021-54845833/15800441009
