中文名稱:兔抗RFX6多克隆抗體
英文名稱: Anti-RFX6 rabbit polyclonal antibody
相關類別: 一抗
宿 主: Rabbit
抗 原: RFX6
反應種屬: Human, Mouse
克隆類型: rabbit polyclonal
|
Background: |
The nuclear protein encoded by this gene is a member of the regulatory factor X (RFX) family of transcription factors. Studies in mice suggest that this gene is specifically required for the differentiation of islet cells for the production of insulin, but not for the differentiation of pancreatic polypeptide-producing cells. It regulates the transcription factors involved in beta-cell maturation and function, thus, restricting the expression of the beta-cell differentiation and specification genes. Mutations in this gene are associated with Mitchell-Riley syndrome, which is characterized by neonatal diabetes with pancreatic hypoplasia, duodenal and jejunal atresia, and gall bladder agenesis. |
|
Applications: |
ELISA, IHC |
|
Name of antibody: |
RFX6 |
|
Immunogen: |
Fusion protein of human RFX6 |
|
Full name: |
regulatory factor X6 |
|
Synonyms: |
MTFS; MTCHRS; RFXDC1; dJ955L16.1 |
|
SwissProt: |
Q8HWS3 |
|
ELISA Recommended dilution: |
5000-10000 |
|
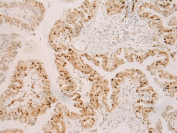
IHC positive control: |
Human liver cancer |
|
IHC Recommend dilution: |
50-300 |

購物車
幫助
021-54845833/15800441009
