|
Background: |
Transcriptional repressor that contribute to growth arrest during terminal macrophage differentiation by repressing target genes involved in Ras-dependent proliferation. Represses MMP1 promoter activity. |
|
Applications: |
ELISA, IHC |
|
Name of antibody: |
ETV3 |
|
Immunogen: |
Synthetic peptide of human ETV3 |
|
Full name: |
ETS variant 3 |
|
Synonyms: |
PE1; METS; PE-1; bA110J1.4 |
|
SwissProt: |
P41162 |
|
ELISA Recommended dilution: |
5000-10000 |
|
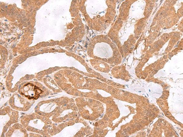
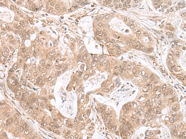
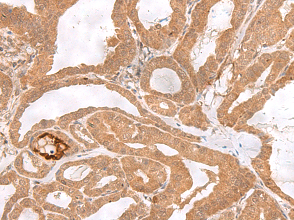
IHC positive control: |
Human gastric cancer and Human thyroid cancer |
|
IHC Recommend dilution: |
30-150 |

購(gòu)物車
幫助
021-54845833/15800441009
