中文名稱: 兔抗UBL7多克隆抗體
|
Background: |
Ubiquitin is an important cellular signal that targets proteins for degradation or regulates their functions. UBL7 (ORF name SB132) encodes ubiquitin-like protein7 also named bone marrow stromal cell ubiquitin-like protein (BMSC-UbP) capable of binding ubiquitin. BMSC-UbP protein is derived from bone marrow stromal cells containing a ubiquitin-associated (UBA) domain at the C terminus that has been implicated in linking cellular processes and the ubiquitin system. BMSC-UbP mRNA is widely expressed in human multiple tissues and various tumor cell lines and is decreased in BMSC stimulated with phorbol myristate acetate (PMA) suggesting a role in regulation of BMSC function. |
|
Applications: |
ELISA, WB, IHC |
|
Name of antibody: |
UBL7 |
|
Immunogen: |
Fusion protein of human UBL7 |
|
Full name: |
ubiquitin like 7 |
|
Synonyms: |
TCBA1; BMSC-UbP |
|
SwissProt: |
Q96S82 |
|
ELISA Recommended dilution: |
5000-10000 |
|
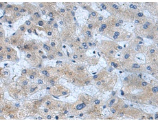
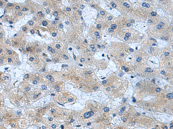
IHC positive control: |
Human liver cancer |
|
IHC Recommend dilution: |
100-200 |
|
WB Predicted band size: |
41 kDa |
|
WB Positive control: |
Mouse testis tissue, Hela cell lysates |
|
WB Recommended dilution: |
500-2000 |

購(gòu)物車
幫助
021-54845833/15800441009
