中文名稱:兔抗ERBB4多克隆抗體
|
Background: |
This gene is a member of the Tyr protein kinase family and the epidermal growth factor receptor subfamily. It encodes a single-pass type I membrane protein with multiple cysteine rich domains, a transmembrane domain, a tyrosine kinase domain, a phosphotidylinositol-3 kinase binding site and a PDZ domain binding motif. The protein binds to and is activated by neuregulins and other factors and induces a variety of cellular responses including mitogenesis and differentiation. Multiple proteolytic events allow for the release of a cytoplasmic fragment and an extracellular fragment. Mutations in this gene have been associated with cancer. Alternatively spliced variants which encode different protein isoforms have been described; however, not all variants have been fully characterized. |
|
Applications: |
ELISA, IHC |
|
Name of antibody: |
ERBB4 |
|
Immunogen: |
Synthetic peptide of human ERBB4 |
|
Full name: |
erb-b2 receptor tyrosine kinase 4 |
|
Synonyms: |
HER4; ALS19; p180erbB4 |
|
SwissProt: |
Q15303 |
|
ELISA Recommended dilution: |
5000-10000 |
|
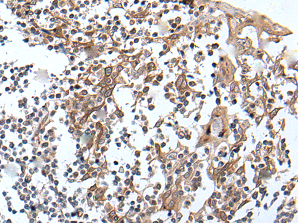
IHC positive control: |
Human ovarian cancer and human tonsil |
|
IHC Recommend dilution: |
20-100 |

購物車
幫助
021-54845833/15800441009
