|
Background: |
This gene encodes a member of the enabled/ vasodilator-stimulated phosphoprotein. Members of this gene family are involved in actin-based motility. This protein is involved in regulating the assembly of actin filaments and modulates cell adhesion and motility. Alternate splice variants of this gene have been correlated with tumor invasiveness in certain tissues and these variants may serve as prognostic markers. A pseudogene of this gene is found on chromosome 3. |
|
Applications: |
ELISA, IHC |
|
Name of antibody: |
ENAH |
|
Immunogen: |
Synthetic peptide of human ENAH |
|
Full name: |
ENAH, actin regulator |
|
Synonyms: |
ENA; MENA; NDPP1 |
|
SwissProt: |
Q8N8S7 |
|
ELISA Recommended dilution: |
5000-10000 |
|
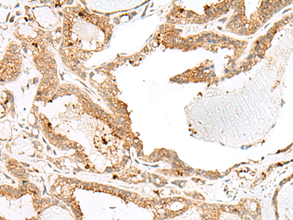
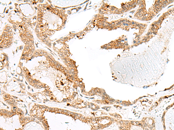
IHC positive control: |
Human thyroid cancer |
|
IHC Recommend dilution: |
40-200 |
購(gòu)物車
幫助
021-54845833/15800441009
