中文名稱: 兔抗UBE2D2多克隆抗體
相關(guān)類別: 一抗
|
Background: |
Regulated degradation of misfolded, damaged or short-lived proteins in eukaryotes occurs via the ubiquitin (Ub)-proteasome system (UPS). An integral part of the UPS system is the ubiquitination of target proteins and covalent linkage of Ub-containing proteins to form polymeric chains, marking them as targets for 26S proteasome-mediated degradation. Ubiquitination of proteins is mediated by a cascade of enzymes which includes E1 (ubiquitin activating), E2 (ubiquitin conjugating), and E3 (ubiquitin ligases) enzymes. This gene encodes a member of the E2 enzyme family. Substrates of this enzyme include the tumor suppressor protein p53 and peroxisomal biogenesis factor 5 (PEX5). Alternative splicing results in multiple transcript variants of this gene. |
|
Applications: |
WB |
|
Name of antibody: |
UBE2D2 |
|
Immunogen: |
Synthesized peptide derived from C-terminal of human UBE2D2. |
|
Full name: |
ubiquitin-conjugating enzyme E2D 2 |
|
Synonyms: |
UBC4; PUBC1; UBCH4; UBC4/5; UBCH5B; E2(17)KB2 |
|
SwissProt: |
P62837 |
|
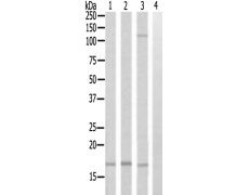
WB Predicted band size: |
17 kDa |
|
WB Positive control: |
Hela cells, A549 cells and K562 cells lysates |
|
WB Recommended dilution: |
500-3000 |
購(gòu)物車
幫助
021-54845833/15800441009
