|
Background: |
This gene encodes the beta subunit of eukaryotic initiation factor-2B (EIF2B). EIF2B is involved in protein synthesis and exchanges GDP and GTP for its activation and deactivation. |
|
Applications: |
ELISA, IHC |
|
Name of antibody: |
EIF2B2 |
|
Immunogen: |
Fusion protein of human EIF2B2 |
|
Full name: |
eukaryotic translation initiation factor 2B subunit beta |
|
Synonyms: |
EIF2B; EIF-2Bbeta |
|
SwissProt: |
P49770 |
|
ELISA Recommended dilution: |
5000-10000 |
|
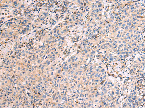
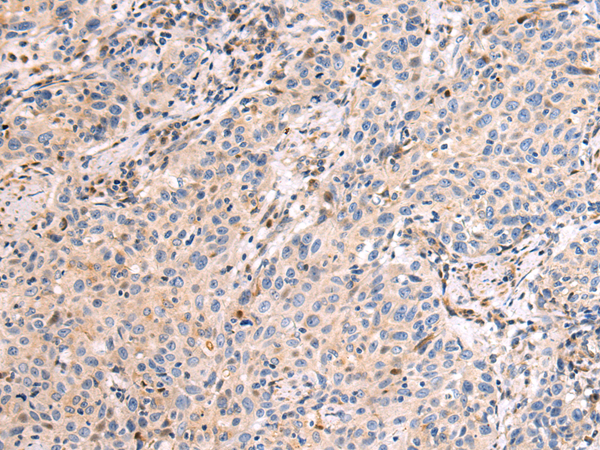
IHC positive control: |
Human gastric cancer and Human prostate cancer |
|
IHC Recommend dilution: |
50-200 |

購物車
幫助
021-54845833/15800441009
