中文名稱:兔抗CORO1A多克隆抗體
|
Background: |
This gene encodes a member of the WD repeat protein family. WD repeats are minimally conserved regions of approximately 40 amino acids typically bracketed by gly-his and trp-asp (GH-WD), which may facilitate formation of heterotrimeric or multiprotein complexes. Members of this family are involved in a variety of cellular processes, including cell cycle progression, signal transduction, apoptosis, and gene regulation. Alternative splicing results in multiple transcript variants. A related pseudogene has been defined on chromosome 16. |
|
Applications: |
ELISA, WB, IHC |
|
Name of antibody: |
CORO1A |
|
Immunogen: |
Synthetic peptide of human CORO1A |
|
Full name: |
coronin 1A |
|
Synonyms: |
p57; IMD8; TACO; CLABP; HCORO1; CLIPINA |
|
SwissProt: |
P31146 |
|
ELISA Recommended dilution: |
5000-10000 |
|
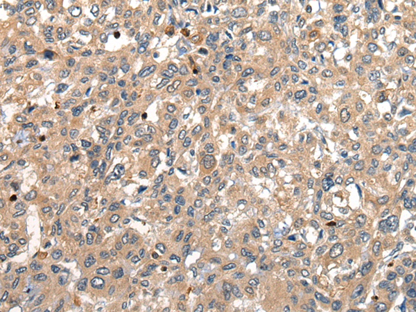
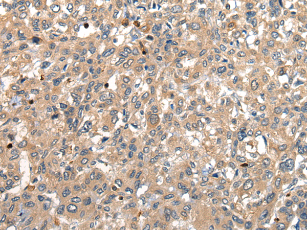
IHC positive control: |
Human liver cancer |
|
IHC Recommend dilution: |
25-100 |
|
WB Predicted band size: |
51 kDa |
|
WB Positive control: |
Jurkat cell lysate |
|
WB Recommended dilution: |
200-1000 |

購物車
幫助
021-54845833/15800441009
