|
Background: |
Dual specificity phosphatases (DSPs) are a subclass of the protein tyrosine phosphatase (PTP) gene superfamily, which are selective for dephosphorylating critical phosphothreonine and phosphotyrosine residues within MAP kinases. DSP gene expression is induced by a host of growth factors and/or cellular stresses, thereby negatively regulating MAP kinase superfamily members, including MAPK/ERK, SAPK/JNK and p38. DUSP27 (dual specificity phosphatase 27), also known as FMDSP or DUPD1 (dual specificity phosphatase and pro isomerase domain containing 1), is a 220 amino acid cytoplasmic protein that belongs to the protein-tyrosine phosphatase family. Expressed in skeletal muscle, liver and adipose tissue, DUSP27 may play a role in energy metabolism. The gene encoding DUSP27 is referred to as DUPD1 and maps to human chromosome 10, which houses over 1,200 genes and comprises nearly 4.5% of the human genome. |
|
Applications: |
ELISA, IHC |
|
Name of antibody: |
DUSP27 |
|
Immunogen: |
Synthetic peptide of human DUSP27 |
|
Full name: |
dual specificity phosphatase 27 (putative) |
|
SwissProt: |
Q5VZP5 |
|
ELISA Recommended dilution: |
5000-10000 |
|
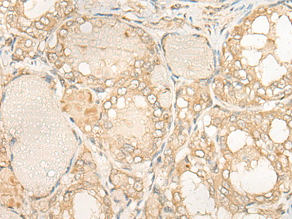
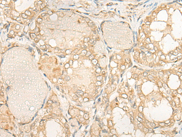
IHC positive control: |
Human ovarian cancer;Human thyroid cancer |
|
IHC Recommend dilution: |
50-300 |


購物車
幫助
021-54845833/15800441009
